kien-thuc-nha-khoa Niềng răng giá bao nhiêu tiền là rẻ nhất hiện nay November 26, 2020 Share Posted By: Navii Dental Care Niềng răng giá bao nhiêu tiền là rẻ nhất hiện nay và niềng răng ở đâu uy tín Hà Nội luôn là thắc mắ… Read More
kien-thuc-nha-khoa Chảy máu chân răng nguyên nhân và cách điều trị September 11, 2020 Share Posted By: admin Chảy máu chân răng là tình trạng các mô mềm xung quanh răng bị xuất huyết. Vậy nguyên nhân gây chảy… Read More
kien-thuc-nha-khoa Có nên trồng răng implant hay không? August 21, 2020 Share Posted By: Navii Dental Care Trồng răng Implant có thể giúp ăn nhai gần như răng thật, nhưng vẫn còn rất nhiều khách hàng mất ră… Read More
kien-thuc-nha-khoa Răng bị vàng khi niềng? Cách khắc phục vàng răng khi niềng August 21, 2020 Share Posted By: Navii Dental Care Có đến khoảng hơn 70% khách hàng xảy ra hiện tượng răng ố vàng nhiều hơn khi niềng ở các mức độ khá… Read More
kien-thuc-nha-khoa Nhổ răng khôn có đau không? Khi nào cần nhổ răng khôn? August 21, 2020 Share Posted By: admin Nhổ răng khôn có đau không là băn khoăn của nhiều người hiện nay bởi đây là một răng hàm lớn, có ch… Read More
kien-thuc-nha-khoa Đang niềng răng có hôn được không? Bí quyết hôn khi niềng răng an toàn August 21, 2020 Share Posted By: admin Hiện nay, niềng răng là phương pháp chỉnh nha tối ưu nhất, được nhiều bạn trẻ lựa chọn để giúp hàm … Read More
kien-thuc-nha-khoa Địa chỉ nhổ răng khôn Hà Nội August 07, 2020 Share Posted By: admin Địa chỉ nhổ răng khôn ở Hà Nội uy tín, chất lượng? Nhổ răng khôn có đau không? Địa chỉ nào nhổ răng… Read More
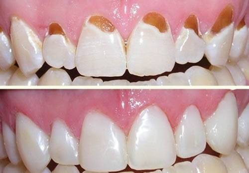
kien-thuc-nha-khoa Bọc răng sứ có đau không? Những ưu điểm khi bọc răng sứ June 16, 2020 Share Posted By: admin Răng sứ giúp chúng ta tự tin hơn khi giao tiếp với mọi người. Bọc răng sứ mang lại nhiều lợi ích về… Read More
kien-thuc-nha-khoa NAVII DENTAL CARE - TRUNG TÂM ĐIỀU TRỊ RĂNG HÀM MẶT LỚN NHẤT TẠI HOÀN KIẾM May 16, 2020 Share Posted By: admin Phá vỡ lối mòn của ngành nha khoa truyền thống, Navii Dental Care thực hiện những bước nhảy vọt vư… Read More
kien-thuc-nha-khoa Chỉnh nha là gì? Khi nào cần chỉnh nha ( niềng răng ) May 13, 2020 Share Posted By: admin I. Chỉnh nha là gì? Chỉnh nha hay còn gọi là niềng răng, đây là kỹ thuật giúp điều chỉnh các răng m… Read More
kien-thuc-nha-khoa Hệ thống vô trùng dụng cụ nha khoa tiêu chuẩn Quốc Tế May 12, 2020 Share Posted By: admin I. Giới thiệu hệ thống vô trùng tại nha khoa NaviiVô trùng dụng cụ nha khoa và vô khuẩn thiết bị y … Read More
kien-thuc-nha-khoa Các bước vô trùng nha khoa tại Navii May 12, 2020 Share Posted By: admin Với tiêu chí đặt lợi ích và an toàn của Khách hàng lên hàng đầu, Navii Dental Care đặc biệt quan tâ… Read More